What we fund:

Human medulloblastoma  tumor cells (blue cells at bottom) growing in a mouse brain (pink areas) 

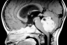
MRI showing human medulloblastoma tumor growing in the cerebellum (white ball at right) 

Finding new drugs for medulloblastoma, the most common malignant brain tumor in children

Two immunocompromised “nude” mice with medulloblastoma tumors implanted under the skin at the same time. Mouse on the left received saline only. Mouse on the right received an anti-metabolic drug, suppressing growth of medulloblastoma tumors.  



The problem: most of the drugs we use to treat medulloblastoma are 30 years old. In the past 5 years we have learned a lot in the laboratory about different subtypes of medulloblastoma (there are at least 4 - and probably 6 - subtypes). But while we have learned more about what makes these cancer cells grow, we are lacking new therapies that we can use to kill cancer cells. In particular, we need drugs that will work on the worst prognosis subtypes. 


Our goal: To develop new, less toxic therapies for patients with aggressive medulloblastoma. We set out to find drugs that would kill cells that had activation of a gene called MYC. The two worst subtypes of medulloblastoma have high levels of this gene, indicating they may be sensitive to drugs that target MYC.


Our progress: Targeting the “Achilles’ Heels” of MYC-driven medulloblastoma. One of the ways that MYC makes cancer cells grow more is by changing their metabolism. This may also represent an Achilles’ heel for these cancers. There are drugs that specifically target the metabolic changes downstream of MYC. The good news is that these drugs don’t appear to harm the normal brain or even baby brain cells. Some of these drugs were tried years ago in children in clinical trials, but they were never extensively tested in MYC-driven cancers. We have found that these drugs not only kill medulloblastoma cells in a dish, but that they can cause regression of advanced medulloblastoma tumors growing in mice. With a little more pre-clinical testing, we hope to move this drug into clinical trials for children with MYC-expressing medulloblastoma.


Another way that MYC causes medulloblastoma cells to grow out of control is to take away the “brakes” that exist in all normal cells. This allows MYC to “step on the gas” making the cells grow wildly. There are some new drugs that are developed to put the brakes back on. We developed some models of MYC-driven medulloblastoma, and our colleagues at Harvard found that they would be predicted to be sensitive to drugs called CDK inhibitors. In fact, this is what we found – CDK inhibitors specifically kill MYC-expressing medulloblastoma cells and do not negatively affect normal cells. We are testing the drugs in mice now to make sure they will kill medulloblastoma cells in the mice. The exciting news is that these drugs are currently in early clinical trials in children with brain tumors. We anticipate that our research will support a clinical trial of these CDK inhibitors for children with aggressive, MYC-driven medulloblastoma.


 

Current Funding Goal:

The Spencer Grace Foundation has partnered with the Johns Hopkins Neuro-Oncology Research Group to support ongoing research into finding new drugs for medulloblastoma (Spencer's Disease), the most common malignant brain tumor in children.  

Our Foundation is currently raising funds to provide continuous funding for the below research.  These doctors and scientists desperately need private funding to study new treatments, and to take their findings from the labs to clinical trials, and hopefully well beyond.  With our help, pediatric oncologists will be able to use this research to develop and implement new treatment regimens for high-risk Medulloblastoma; and hopefully, one day soon, children like Spencer will have the future they deserve.

Below is a summary from the research team at Johns Hopkins:​



Update on Research - May 20, 2021

Targeting Abnormal Cell Metabolism Shows Promise for Treating Aggressive Pediatric Brain Tumors


Our primary goal is to provide direct funding for research.  These projects will look at innovative ways to treat pediatric brain cancers that are safer, less toxic and more effective than current treatments. 


With only 4% of federal cancer research funds applied to pediatric cancer, private funding sources such as The Spencer Grace Foundation will support research and hopefully save the next child, like Spencer, who is battling brain cancer.